
A kisfiú gyakorlatilag agy nélkül jött világra. Az orvosok végig azt tanácsolták az anyának: vetesse el fiát. Az orvosok most már csodáról beszélnek...
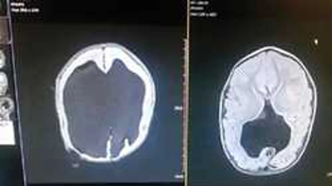
Mindössze agya két százaléka működött Noah Fahlnak, amikor megszületett. Az angliai Cumbriában élő Shellyt orvosai a terhessége alatt végig győzködték, hogy ne akarja megszülni kisfiát. Noah koponyája ugyanis összetört az anyaméhben, s feje folyadékkal lett tele.
Vagyis a gyerek vízfejűségben szenvedett. A vízfejűség komoly fogyatékosság, így érthető, hogy az orvosok próbálták lebeszélni Shellyt a szülésről.
Az anya azonban nem hallgatott rájuk. Noha nem tudta, hogy jól dönt-e, világra hozta kisfiát. Egyáltalán nem volt biztos, hogy a gyerek felépül, s valaha bármire is képes lesz, de most már az orvosok is csodaként tekintenek a kisfiúra.
Noah-val a Newcastle Great North Gyermekkórházban Dr Claire Nicholson idegsebész foglalkozik. A doktornő elismerte, ő és orvostársai nagyon sokat tanulnak a gyerektől.
– Figyelemre méltó gyermek két figyelemre méltó szülővel – fogalmazott az idegsebész.
A most négyéves Noah agya ugyanis egyre szebben fejlődik, s a gyerek most folyamatosan számol tízig. Az orvosok úgy vélik, a sok foglalkozás, a sok tanulás segít Noah-nak. Persze ebbe a csodába az anyuka, Shelly is beleteszi a magáét. Állandóan a gyerekkel foglalkozik, sokat beszélget vele, tanítja. Neki köszönhető, hogy Noah le tudja írni a saját nevét.
![]()
– A kisfiam elképesztő… minden nap meglep minket – sírta el magát az anyuka a Channel5 műsorában, ahol a kisfiú életét bemutatták.
A következő nagy cél, hogy egyszer Noah lábra álljon, legalábbis szüleinek, Robnak és Shellynek ez a nagy álma. A kisfiú viszont többre vágyik: tűzoltó akar lenni!
![]()







