BIZARR Kiverte a biztosítékot a neten a vaginakóla, azonnali vizsgálat indult Minden óvintézkedés ellenére meghökkentően obszcén kifejezés került a Coca-Cola dobozára. Vállalati szinten indult meg a nyomozás.
BIZARR 2019. 01. 31. Soha többet ne tegyél petrezselymet a p...-ba, veszélyes lehet Az új őrületet követve sok nő dug petrezselymet a legintimebb hasadékába. Egy bizonytalan forrásból származó internetes cikk szerint ugyanis ez hasznos lehet. De az igazság egészen más!
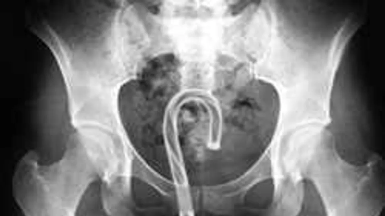
SZEX & MÁS 2019. 01. 17. Nem hiszed el, miket találnak a nők vaginájában - sokkoló röntgenfotók! Egészen elképesztő felvételeket mutatunk. Nem fogsz hinni a szemednek!
SZEX & MÁS 2019. 01. 17. Szőrös szeméremdomb: Tarol az intimdzsungel odalent Nézd meg te is a legújabb kihívás legfrissebb válogatását, melyből azonnal kiderül, miért is nyerő a szőr!
SZEX & MÁS 2019. 01. 16. Még a rendőröket is sokkolta, amit a nő vaginájában találtak A valóságban bizonyára bizarr élmény lehetett, de aki a hírt hallotta, az is teljesen megdöbbent. Sokan ugyanis el nem tudják képzelni, ilyesmi egyáltalán hogyan férhet be oda?
SZEX & MÁS 2018. 12. 31. Iszonyatosan bizarr, ami a japán nő vaginájával történt A horrorisztikus orvosi esetet hallva nem csak a nők, a férfiak is felszisszennek. Iszonyatosan ritka megbetegedésről van szó, de borzasztó félelmeket él át az a nő, aki megtapasztalja. Mutatjuk a hátborzongató részleteket...
NA NE! 2018. 12. 26. Sokkot kapott az orvos, amikor meglátta a végbélröntgen eredményét Hihetetlen, mi mindennel próbálkoznak az emberek.
NA NE! 2018. 11. 29. Durván korhatáros reklám készült: Nézd meg az éneklő vaginákat Már a címe is találó: viva la vulva!
SZEX & MÁS 2018. 11. 28. Eszelős erővel szorítja a férfiasságot a szupervagina: Mutatjuk a trükköt A feszes vagináért edzeniük kell a nőknek; de szerencsére nagyon komoly segítségük akadt! Méghozzá egy profi pornószínésznő személyében; aki hihetetlen részletességgel számolt be arról, hogyan lehet minden nőnek csodás szorítása odalent. Nagyon pikáns útm
SZEX & MÁS 2018. 11. 27. Íme, ezek lesznek 2019 legizgalmasabb szeméremszőrfazonjai Felszabadultak a nők: már nemcsak a csupaszság a divat! Ez azzal is jár, hogy nagyon változatosra nyírják a vaginabundát, sőt: sokan egyenesen trendeket követnek. A férfiak pedig imádják ezt az őrülten buja intim változatosságot!