A NAP VIDEÓJA Páros lábbal szállt bele a románokba a magyar kapitány A csehek legyőzése után Ivkovics Sztojan arról beszélt, hogy Magyarország minden szempontból jobb, mint Románia. A két kosárválogatott ma este játszik.
KÜLFÖLD 2017. 08. 31. Magyarország szomszédságában a halálos vírus, áldozatok is vannak Már hat ember halálát okozta a nyugat-nílusi vírus Romániában: a fertőzés szúnyogok csípésével terjed, és számtalan tünete van.
KÜLFÖLD 2017. 08. 24. Nincs vége: Magyarország mellett alakulhat ki az új migránsútvonal A balkáni útvonal után már a Földközi-tengeren is egyre nehezebben tudnak az illegális bevándorlók eljutni Európába. A migránsok az embercsempészekkel karöltve új útvonalakat keresnek. A románok attól tartanak, hogy mostantól fogva rajtuk keresztül vezet
KÜLFÖLD 2017. 08. 22. Kétezer migránst fogad be Románia! A menekülteket Görögországból és Olaszországból telepítik át - nyilatkozta a külügyminiszter. Azt még nem lehet tudni, hogy hol fognak lakni, de a komommentelők attól tartanak, hogy Erdélybe viszik majd őket.
KÜLFÖLD 2017. 08. 20. Felfoghatatlan tragédia: gyerekeivel ugrott vonat elé az anyuka Felfoghatatlan tragédia történt, a várandós nő búcsúlevelét a közelben találták meg.
NÍNÓ 2017. 08. 14. Folyóba hajtott a busz, többen meghaltak A sofőr elvesztette az uralmát a kisbusz felett, egy kislány is meghalt a tragikus balesetben.
POLITIK 2017. 08. 07. Besétált a konyhába és megette a palacsintát a medve - videó Egyre szemtelenebbek az éhes medvék Romániában.
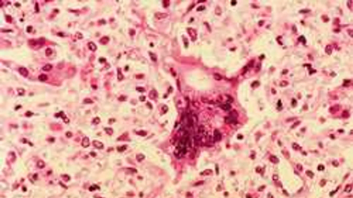
RIPOSTER 2017. 08. 05. Most közölték: Rohamosan terjed a halálos kór a magyar határ mellett Az utolsó egy hétben 108-al nőtt az igazolt kanyarós esetek száma Romániában, idén már 32 haltak meg.
POLITIK 2017. 07. 24. Lecsapott a vihar a turistákra: meghalt egy férfi Csarnóházán Egy ember meghalt, tizenhatan pedig súlyosan megsebesültek a hatalmas viharban. A vihar fákat döntött a parkoló autókra és kempingezők sátraira a romániai Csarnóházán.
KÜLFÖLD 2017. 07. 18. Két kisgyereket gázolt halálra, majd elmenekült az országból a férfi Öt évre ítélték el azt a 23 éves férfit, aki múlt szeptemberben elgázolt két gyereket, majd segítségnyújtás nélkül továbbhajtott.