POLITIK Nagyon odatette: kemény posztot írt Djokovics kapcsán a magyar orvos Nem finomkodott a magyar orvos az oltatlan teniszező kapcsán.
KÜLFÖLD 2022. 01. 08. Rengeteg a fertőzött, börtön várhat az oltatlanokra ebben az országban Nagyon sok az új fertőzött a szigetországban.
KÜLFÖLD 2022. 01. 06. Négy gyermek gyászolja az oltatlan szülőket, ugyanaznap vesztették életüket Egyikük sem volt beoltva, az eset újragondolásra készteti a családot.
INSIDER 2021. 12. 06. Covid-statisztikát készített a magyar háziorvos, megdöbbentő az eredmény Dr. Mangó Gabriella csak a Ripostnak mutatta meg az általa készített Covid-statisztikát. Az eredmény lenyűgöző. Mutatjuk.
INSIDER 2021. 12. 03. Mutatjuk, miért magas az oltottak aránya a kórházakban Egy szemléletes ábra segít megérteni a helyzetet.
INSIDER 2021. 11. 17. Ezt mondják a beteg oltatlanok a kórházban A kórházi kezelést igénylő koronavírusos betegek többsége oltatlan, sokan meg is bánják, hogy nem vették fel az oltást.
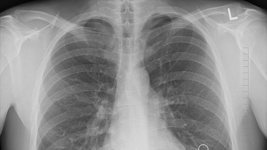
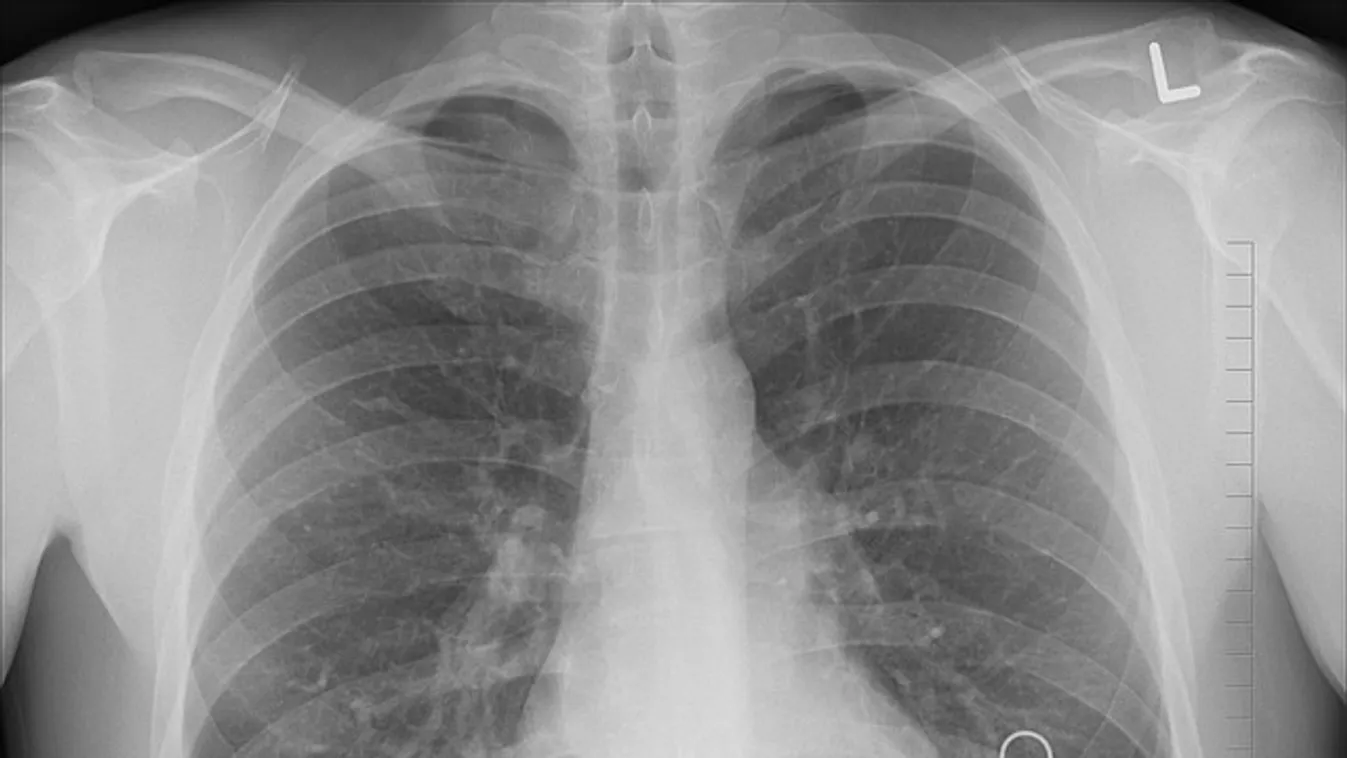
INSIDER 2021. 10. 29. Elképesztő bizonyíték: Aki be van oltva, annak nem károsodik a tüdeje Jelentős a különbség az oltott és oltatlan betegek tüdőkárosodása tekintetében koronavírus-fertőzés esetén.
INSIDER 2021. 10. 22. Újabb egészségügyi hátrányra derült fény az oltatlan Covidosoknál Az oltatlan Covidosoknál egy újabb hátrányra hívja fel a figyelmet az ismert háziorvos, dr. Mangó Gabriella és azt is elárulta, mi lehet ennek a következménye.
INSIDER 2021. 06. 11. Megáll az ész: elképesztő trükkökkel nyaralnak a védettségi igazolvány nélküliek Mivel minden szálláshelyen kötelező a védettségi igazolvány, az interneten adnak egymásnak tanácsot az oltatlanok, hogyan lehet nyaralni védettségi igazolvány nélkül.