RETRO RÁDIÓ

Elképesztő bizonyíték: Aki be van oltva, annak nem károsodik a tüdeje

Elképesztő bizonyíték: Aki be van oltva, annak nem károsodik a tüdeje
Ripost
Szerző
Ripost
Létrehozva2021. 10. 29. 11:50

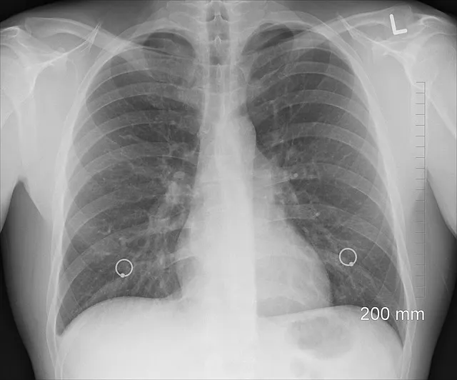
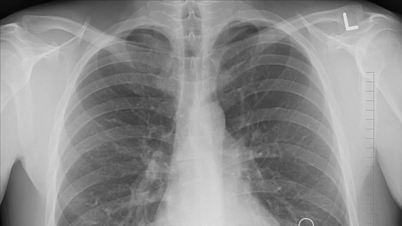
Jelentős a különbség az oltott és oltatlan betegek tüdőkárosodása tekintetében koronavírus-fertőzés esetén.

„A koronavírussal megfertőződött, de beoltott emberek több mint 95%-ának nem károsodik a tüdeje” – állítja a temesvári Victor Babeș Fertőző- és Pneumoftiziológiai Kórház orvos igazgatója, Diana Manolescu.

Állítását röntgenfelvételekkel támasztotta alá a szakember:

A koronavírussal kórházba került oltott és nem oltott személyek esetében a legnagyobb különbség a tüdő károsodásában vehető észre. Míg a beoltott emberek 95 százalékánál nincs tüdőkárosodás, addig az oltatlanok esetében a tüdő jelentősen károsodik.

Képünk illusztráció (Fotó: pixabay)

„Az oltatlan betegeknél a tüdőkárosodás 30-40 százalékkal kezdődik, és rövid időn belül tovább romolhat, akár 70-80, sőt 85 százalékosra is” – mondta Diana Manolescu. „Sajnos ezek a tüdőelváltozások gyakran összeegyeztethetetlenek az élettel” – magyarázta. „Az egyetlen megoldás a védőoltás” – zárta a videót a doktornő.

40 lélegeztetőgépet adományoz Magyarország Romániának

Szijjártó Péter csütörtök reggel bejelentette, Magyarország Románia 20 kórházába, alapvetően Erdélybe 40 lélegeztetőgépet, 1650 úgynevezett non-invazív lélegeztetéshez szükséges maszkot, valamint 3000 doboz favipiravir gyógyszert szállít annak érdekében, hogy hozzá tudjon járulni a romániai járványkezelés sikerességéhez. A negyedik járványhullám tombol Európában és világossá vált, hogy azok az országok, ahol az átoltottsági szint alacsony, könnyen bajban kerülhetnek. Vannak így szomszédos országok is, többek között Románia is alacsony átoltottsági szinttel érkezett meg a negyedik hullám időszakába – fogalmazott.

Ripost hírek
Országgyűlési választás2026. április 12. Minden hír a választásról

Portfóliónk minőségi tartalmat jelent minden olvasó számára. Egyedülálló elérést, országos lefedettséget és változatos megjelenési lehetőséget biztosít. Folyamatosan keressük az új irányokat és fejlődési lehetőségeket. Ez jövőnk záloga.