
Próbáltad már elképzelni, milyen amikor a pénisz behatol a testedbe, vagy azt, hogy néz ki egy heves csók belülrõl a szádban? Most végre megnézheted a szexet úgy, ahogy még soha!
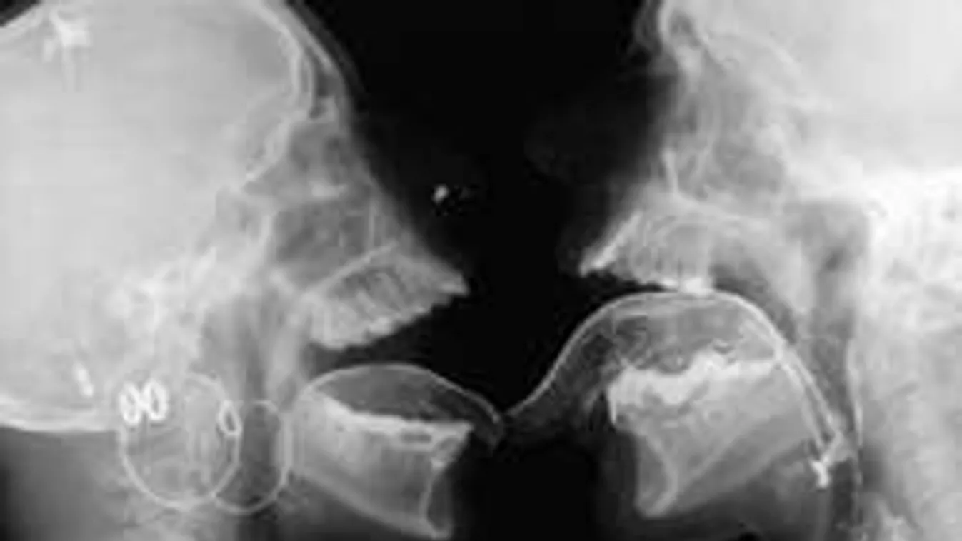
Nemrégiben holland kutatók bebizonyították, hogy nem csak egészségügyi problémák szűrésére jó a röntgen vagy az MRI készülék. A tudósok ugyanis kíváncsiak voltak arra, mi zajlik a testen belül egy csók vagy épp egy intim együttlét során.
Ezek a készülékek megmutatják azt a világot, amit még sosem láttál. Az orvosok pedig pontos képeket kaptak arról, hogy működik az agy vagy éppen hogy dobog a szív egy-egy hevesebb együttlét vagy épp az orgazmus közben.
A holland kutatócsoport már több ilyen felvételt is készített az emberi testről, azonban a legsikeresebbek mégis a szexuális tartalmú videók lettek.
A felvétel bizarr, sőt sokak számára ijesztő is.
Egyesek szerint ezek a videók, akár felvilágosító filmnek is beillenének. Ezeket a képsorokat látva, sok fiatalnak, akár el is mehet a kedve a korai szexuális kapcsolattól.








