
Krónikus hátfájdalma miatt kért segítséget egy 79 éves nõ. Bár ne tette volna.
Ártalmatlannak tűnő akupunktúrás kezelés miatt került életveszélyes állapotba egy idős portugál asszony. A terápiát követően légzési nehézségei lettek, ezért rögtön orvoshoz fordult.
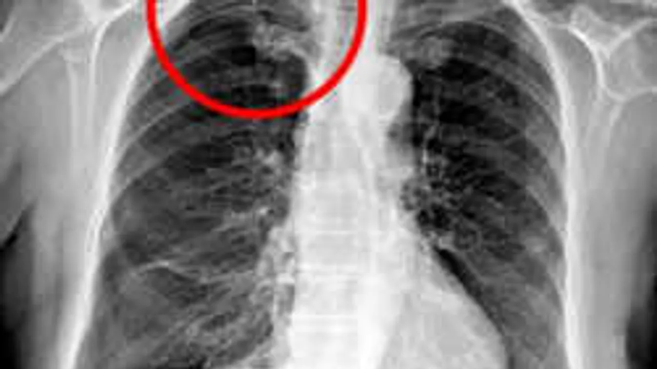
Megröntgenezték és kiderült, hogy összeomlott a jobb tüdejének egy része, légmell alakult ki nála.
![]()
A bajt az okozhatta, hogy a tűt túl mélyen, és rossz szögben szúrták be a lapockák közötti területen - írta meg a BMJ Case Reports orvosi szakfolyóirat.
Az orvosok a páciens mellüregébe egy csövet vezettek, amivel elszívták a levegőt, az oxigénellátását közben orrszondán keresztül oldották meg. Az asszony már elhagyhatta a kórházat és szövődmények nélkül épült fel.







