
Rollerezés közben sérült meg brutálisan egy 16 éves fiú, műteni kellett
Már nem elég a szabályokat betartani? Megmutatjuk, mennyire veszélyes lehet egy átlagosnak tűnő rolleres baleset is. Jelen esetben súlyos sérülés lett belőle.
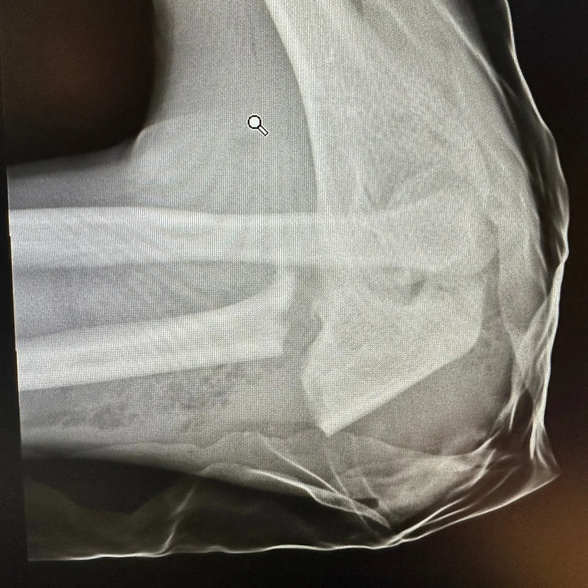
Egyetlen hirtelen fékezés is elég lehet ahhoz, hogy komoly sérüléssel végződjön egy rollerezés. Erre hívja fel a figyelmet a Sebészek a Gyermekekért Alapítvány a legutóbbi posztjában. Egy 16 éves fiú ugyanis egy átlagos tempójú, körülbelül 25 km/h-s haladás közben bukott át az elektromos rollerének kormányán, és olyan súlyos könyöktörést szenvedett, hogy műtéti beavatkozásra volt szüksége.

A fiatal szabályosan, körülbelül 25 km/h-s sebességgel közlekedett elektromos rollerével, amikor egy hirtelen fékezésnél átrepült a kormány felett. Ugyan viselt bukósisakot és kesztyűt, és egyedül használta a rollert, mégsem tudta elkerülni a balesetet.
Nem minden baleset előzhető meg
Sokan felteszik a kérdést: ha a fiú szabályosan közlekedett, vajon meg lehetett volna előzni a balesetet? Dr. Ringwald Zoltán főorvos szerint nem minden esetben.
Azt nem tudjuk mondani, hogy minden balesetet meg lehet előzni. Elesünk biciklivel, rollerrel, sőt gyalogosan is szenvedhetünk balesetet
– mondta, hozzátette, sok múlik azon, hogy milyen körülmények között történik a baj. Ennek a történetnek a doktor úr szerint vannak pozitívumai.
Azon tudunk változtatni, hogy amikor ilyen baleseti szituáció van, akkor mi védi meg a szervezetünket. A fiú könyöktörést szenvedett, de mivel 25 km/h-val ment, viselt bukósisakot, egyedül használta a rollert és vélhetően szabályosan közlekedett, más komoly sérülése nem történt.
Veszélyesebb a roller, mint gondolnánk?
Lovas Károly közlekedésbiztonsági szakértő szerint az elektromos roller különösen veszélyes lehet: „Minél kisebb a kerék egy járművön, annál könnyebben elakad egy kátyúban vagy egyenetlenségben. A roller ráadásul olyan jármű, amelyen állunk, így a súlypont magasabban van. Ha az első kerék megakad, a lendület miatt szinte óhatatlan, hogy az ember előre bukjon. – mondta Lovas Károly, aki arra is felhívta a figyelmet, hogy az elektromos roller vezetése valójában külön készséget igényel.
A rollervezetésnek is van vezetéstechnikája, mint a biciklizésnek vagy a motorozásnak. Ha fékezünk, hátrafelé kell dőlni és meg kell támasztani magunkat a kormányon. Minél hátrébb kerül a súlypont, annál kisebb az esélye annak, hogy előre bukunk. Ha valaki komolyabb közlekedési eszközként használja, érdemes nagyobb kerekű modellt választani, mert ezek stabilabbak”
– magyarázza a szakértő.

A megfelelő öltözék sokat számít
A történetnek ugyanakkor van egy fontos tanulsága. Méghozzá az, hogy a megfelelő felszerelés valóban számít. Dr. Ringwald Zoltán kihangsúlyozta, hogy egy balesetnél a bukósisak viselése döntő fontosságú lehet:
Ennek köszönhetően nem történt súlyosabb sérülés. Sem az agy, sem a belső szervek nem károsodtak, a könyöktörés pedig várhatóan szépen meg fog gyógyulni.”
Nemcsak sisakot, hanem kesztyűt, térd- és könyökvédőt is érdemes viselni.
Dr. Ringwald Zoltán szerint viszont a cél nem az e-rollerek betiltása, hiszen egy rendkívül mobilis és hasznos eszközről van szó. A cél a kockázatcsökkentés. Ahogy a főorvos fogalmazott: „A baleseteket nem mindig tudjuk elkerülni, de azt befolyásolhatjuk, milyen súlyos következményekkel járnak.”






