
Egy egészen ijesztő tanulmány jelent meg nemrég: minden harmadik, kórházban kezelt koronavírusos beteg esetében jelentkezett egy olyan szövődmény, amely gyakorlatilag egy életre megnyomorítja az embert.
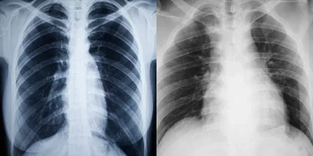
Tönkreteheti a tüdődet a Covid – egy friss tanulmány szerint erre az elég ijesztő szövődményre lettek figyelmesek a szakemberek, ami tulajdonképpen az egész szervet hazavághatja. Bár kevésbé meglepő, hogy a támadás a tüdőt érinti, az viszont megdöbbentően hangzik, hogy a neve konkrétan: post-Covid-19 fibrózis.
A post-Covid-19 fibrózis a Covid-19-tüdőgyulladás és ARDS (amikor a tüdőben lévő apró, rugalmas légzsákokban folyadék halmozódik fel, mely megakadályozza, hogy a tüdő elegendő levegővel teljen meg) egyik gyakori szövődménye. Becslések szerint ez a Covid-19-fertőzött, kórházban kezelt betegek egyharmadánál fordul elő – írja a COVID1001.hu.

A szakorvosokból, biológusokból, gyógyszerészekből, járványügyi, fordítópiaci, nyelvi szakemberekből álló fordítócsoport által közzétett tanulmányban azt is kiemelik: valószínűleg sűrűbben fordul elő időseknél, valamint azoknál, akiknek a fertőzés citokin vihart okozott a tüdejükben. Jelenleg a post-Covid-19 fibrózis kezelése mindössze tüneti – emelik ki a lapban a szakemberek, akik azt is hangsúlyozzák: a jelenség kivizsgálásához, és a már tesztelt gyógyszerek hatékonyságának ellenőrzéséhez kiterjedtebb vizsgálatok szükségesek, valamint azt javasolják, hogy mielőtt egy Covid-19-tüdőgyulladáson átesett beteg elhagyná a kórházat, végezzenek el nála egy erre irányuló terheléses vizsgálatot.
Milyen tünetekkel jár a tüdőfibrózis?
A tüdőfibrózis során krónikus gyulladás indul el a tüdőszövetben, a léghólyagocskák és hajszálerek között, amely végül a kötőszövet felszaporodásához vezet, ezzel csökkenti a légző felületet. Lappangva kezdődik. Eleinte terhelésre, később nyugalomban is jelentkező nehézlégzés, száraz köhögés figyelhető meg. A légzés szaporává, felületessé válik. Sokszor jelentkezik mellkasi fájdalom, és ahogy telik az idő, a tünetek egyre súlyosabbak lesznek, az ajkak elkékülhetnek, a körmök óraüveghez, az ujjak dobverőkhöz hasonlókká válhatnak. Sokszor előfordul fáradékonyság, fogyás és láz.







