
Két magyar fiatal kifejlesztett egy olyan számítógépes programot, ami röntgenképek alapján képes felismerni a koronavírust. A mesterséges intelligencia nem dönt az orvosok helyett, de nagyban segítheti a munkájukat.
Dr. Ország-Krisz Axel és Dr. Vécsey Richárd Ádám jogászok, de az informatikában több kihívást találtak, és most jó hasznát vették ennek.
– Mesterséges intelligencia fejlesztéssel foglalkozunk
– mondták el a Ripost-nak.
– Az ehhez szükséges alapokat külföldről szereztük be, méghozzá online. Habár egy klasszikus jogászvicc úgy tartja, hogy a jogászok mindenhez értenek, fontos hangsúlyoznunk, nem vagyunk egészségügyi szakemberek.
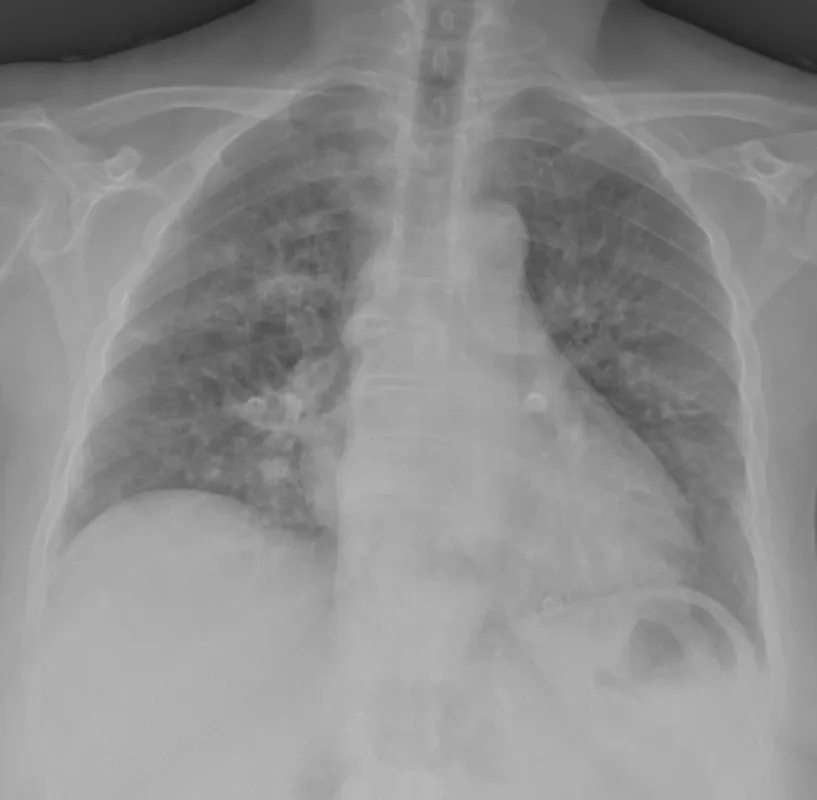
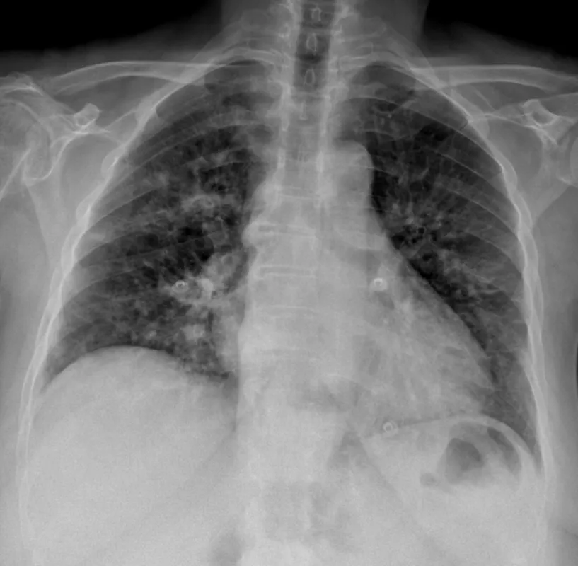
Pontonként tapogatja le a tüdőt a rendszer
Első fejlesztésük egy olyan adatbázis és térkép, ahol orvosok, kutatók, szakemberek könnyen látják a vírus terjedésének aktuális állapotát.
– Az adatokat az Európai Betegségmegelőzési és Járványvédelmi Központtól szerezzük be. Ehhez készítettünk egy kis alkalmazást, amivel más kutatók vagy fejlesztők is egyszerűen hozzáférhetnek az adott napi adatokhoz
– emelte ki Axel.

– A koronavírus kiszűréséhez a mesterséges intelligenciát hívtuk segítségül
– veszi át a szót Richárd.
– Fejlesztettünk egy szoftvert, ami lefuttat egy digitális formában elkészült mellkasi röntgenfelvételen egy mesterséges intelligencia alapú elemző algoritmust, és így kapjuk meg az eredményt, hogy egészséges-e a tüdő vagy beteg. A rendszer „pontonként letapogatja” a tüdőt, olyan, mintha sok orvos végignézné a képet, és mindegyik csak egy-egy elváltozást keresne. Fontos hangsúlyozni, hogy a szoftver nem dönt az orvos helyett, csak segít neki a döntésben.

Szeretnék éles bevetésen is megmutatni
Élesben még nem tesztelték a rendszert, egyelőre elérhető tudományos adatok alapján működtették.
– Szakembereket keresünk, hogy megmutassuk: nemcsak elzártan, laboratóriumi körülmények között működőképes a rendszer. Fontos, hogy „éles bevetésen” is jól vizsgázzon, de folyamatosan alakítható, az orvosok részéről felmerülő igényeket azonnal beépítenénk, és természetesen mindezt ingyen
– tette hozzá Axel. Külföldön sok hasonló technológiát használnak, de
ők a hazai egészségügyet szeretnék támogatni a fejlesztéssel.
Jelenleg gyorsteszttel vagy laboratóriumi eljárással mutatják ki a koronavírust, de ezt előszűrhetné a röntgen vagy akár a CT, és ezek a berendezések ott vannak az egészségügyi intézményekben. A rendszert be tudnák tanítani CT felvételek elemzésére is, ehhez csak kellő számú felvételre lenne szükségük.

Ezzel a világ élvonalába kerülhetünk
Hasonló eljárást árulnak a kínaiak, ám kérdéses, ott a fejlesztés során törődtek-e az adatok megfelelő védelmével. A magyar fiatalok rendszerével minden, a betegről meglévő információt biztonsággal lehetne kezelni. Mindemellett Richárd azt is kiemelte: nagyon könnyen és gyorsan tanítható a fejlesztés.

– A legnagyobb motiváció számunkra, ha azt látjuk, van eredménye a munkánknak. Megadatott a lehetőség, hogy kétfős fejlesztő csapatként – kis túlzással élve – lépést tudunk tartani a világ egyik vezető cégével egy adott területen. Nagyon jó lenne, ha a munkánkkal hozzá tudnánk járulni ahhoz, hogy minél előbb legyőzzük a járványt és a lehető legtöbb ember mielőbb meggyógyuljon - hangsúlyozták a fiatalok.







