
Mosolyogj magabiztosan! - Kozmetikai fogászati kezelések a Hargitai Dental Studioban (x)
Szeretnél ragyogóan szép mosolyt? Akkor ne habozz, és látogass el a Hargitai Dental Studioba, ahol a legmodernebb technológiával és a legprofibb szakemberekkel várják az igényes pácienseket.
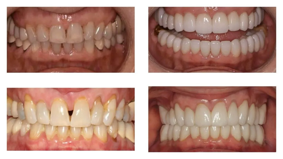
Dr. Hargitai Máté fogorvos és csapata több mint 10 éve foglalkozik kozmetikai fogászattal, több ezer elégedett ügyfél bizonyítja a munkájuk minőségét. A Hargitai Dental Studioban számos kozmetikai fogászati kezelés közül választhatsz, attól függően, hogy milyen eredményt szeretnél elérni. Legyen szó fogfehérítésről, porcelán héjakról, cirkónium koronákról vagy implantátumokról, itt mindent megtalálsz egy helyen. A kezelések során a legkorszerűbb eszközöket és anyagokat használják, amelyek garantálják az esztétikus és tartós végeredményt. Ha szeretnéd megújítani a mosolyodat egy olyan módon, ami természetesnek hat és nem károsítja a fogaidat, akkor érdemes megismerned a porcelán héjak előnyeit. A porcelán héjak vékony kerámia lemezek, amelyeket ráragasztanak a fogakra úgy, hogy eltakarják az esztétikai hibákat. Így megszüntetheted a fogaid elszíneződését, törését vagy réseit anélkül, hogy lecsiszolnád őket. A porcelán héjak rendkívül tartósak és ellenállnak a foltoknak is. A Hargitai Dental Studioban Dr. Hargitai Máté személyesen végzi el ezt a speciális kezelést minden páciensén. Első lépésben alapos vizsgálatot végez és digitális lenyomatot vesz a fogaidról. Ezután elkészíti az egyedi tervezésű porcelán héjakat egy professzionális laboratóriumban. Végül felhelyezi őket a fogaidra egy speciális ragasztóval és finomhangolja őket úgy, hogy tökéletesen illeszkedjenek a mosolyodhoz. A kezelés után nem fogsz hinni a szemednek, amikor meglátod az új mosolyodat. Nézd meg az előtte-utána fotókat, és győződj meg róla magad!

A Hargitai Dental Studio nemcsak a magas színvonalú kozmetikai fogászatáról híres, hanem az emberközpontú hozzáállásáról is. Itt nemcsak egy páciens vagy, hanem egy vendég, akinek minden igényét figyelembe veszik. A barátságos és segítőkész recepciósoktól kezdve az empatikus és tapasztalt asszisztenseken át egészen Dr. Hargitai Mátéig mindenki arra törekszik, hogy jól érezd magad a rendelőben. A kezeléseket alapos konzultáció előzi meg, amely során megismerheted az elérhető lehetőségeket és felteheted a kérdéseidet. A kezelés alatt pedig folyamatosan tájékoztatnak arról, hogy mi történik veled.
Ha szeretnéd megújítani a mosolyodat egy olyan helyen, ahol nemcsak szakmailag kiválóak, hanem kedvesek és figyelmesek is hozzád, akkor ne keress tovább!
Foglalj időpontot még ma a Hargitai Dental Studioban!
HARGITAI DENTAL STÚDIÓ
1085 Budapest, Stáhly u. 2.
Telefon: +36-70-624-3909
E-mail: [email protected]
Kapcsolattartó: Dr. Hargitai Máté






