
Baji Anikó, az Uzsoki Utcai Kórház triázsa, azaz sürgősségi szakápolója nyíltan beszélt a vírus hatásáról.
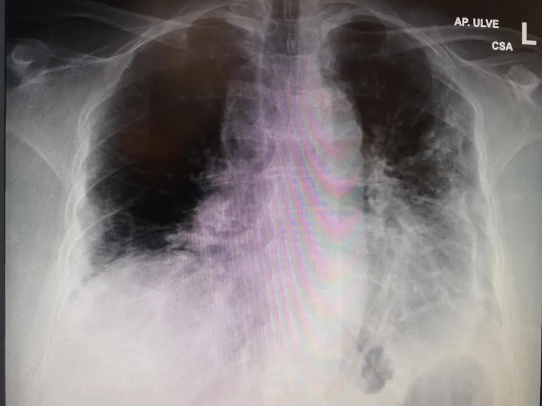
Az Uzsoki Kórház szakápolója is megerősíti: a járvány harmadik hullámának felszálló szakaszában minden eddiginél többen kerülnek kórházba. Jelenleg közel tízezren szorulnak ellátásra, és több mint ezer beteg van lélegeztetőgépen. Egyre nagyobb a teher az egészségügyön, az orvosok és az ápolók nap mint nap hírt adnak a kórházak leterheltségről, és arról, hogy milyen sok az új beteg. Így tett most Baji Anikó, az Uzsoki Utcai Kórház triázsa, azaz sürgősségi szakápolója is, aki néhány röntgenfelvételt is posztolt arról, hogy mit okoz a Covid.

Mint ismert, a koronavírus egy légúti betegség, ami legfőképp a tüdőt támadja. Ez a járvány eleje óta változatlanul így van, most azonban lényegesen szembetűnőbb a probléma. „Életemben nem láttam ennyi és ilyen súlyos tüdőgyulladást. Folyamatosan dolgozunk, megállás nélkül jönnek a lázas, gyenge és fulladásos tünetekkel érkező betegek. Fiatalok, családok, öregek, gazdagok és szegények. Ez a nyavalyás vírus nem válogat. Akik szerencsések és túlélik, nem tudhatják, hogy mennyire rombolta le a szervezetüket a betegség. Nem tudhatják, hogy vár-e rájuk valami krónikus keringési és légzőszervi betegség, poszttraumás-stressz később” – adott betekintést a mindennapokba Baji Anikó a Facebookon. Magyarországon folyamatosan zajlik az oltások beadása, közel 1 millió 350 ezren már meg is kapták a vakcinát. Ugyanakkor még mindig sokan vannak azok, akik kételkednek a vakcinák biztonságosságában, ami miatt egyes oltóanyagokat többen is visszautasítanak, lemondva ezzel a mihamarabbi védettség megszerzéséről.
„Könyörgöm, ne legyen kérdés az oltás. Tökmindegy, melyik jön, csak legyen egy pajzsotok” – jelentette ki az Uzsoki Utcai Kórházban triázsként dolgozó nő, akit a Metropol idéz. Baji Anikó egy korábbi posztban azt is elárulta, hogy civilként mit tehetünk annak érdekében, hogy a járvány mihamarabb véget érjen.
„Sokan kérdezik, miként segíthetnek nekünk, egészségügyi dolgozóknak. Segíts abban, hogy ezt a nehéz két hetet elfogadod. Borzasztóan sajnáljuk a vállalkozásokat, illetve azokat, akik most komoly anyagi károk elé néznek. Mindenkinek nehéz lesz, de a betegeknek, a beteg családoknak most sokkal nehezebb. Mi megígérjük, hogy minden tőlünk telhetőt megteszünk. Vigyázzunk egymásra” – zárta sorait Baji Anikó.
Mi az a triázs?
A triázs szó a francia trier szóból származik, jelentése: rendezni, osztályozni, kiválogatni.Triázs rendszer:
Tömeges balesetek esetén, katasztrófa helyszínén és a kórházi sürgősségi osztályokon az emberek rangsorolására használt betegosztályozási rendszer. Ezt egy erre kiképzett szakember, a sürgősségi szakápoló úgynevezett triázs ápoló végzi. Az egész folyamat körülbelül 5-10 perc alatt lezajlik.A magyar triázs rendszer:
1. szint: azonnali beavatkozást igényel (pl. újraélesztést, lélegeztetést igénylő vagy eszméletlen betegek stb.)
2. szint: magas kockázatú személyek, akik 15 percen belüli ellátást igényelnek
3. szint: sürgős esetek, akikkel 30 percen belül kell foglalkozni
4. szint: nem sürgős esetek, akikkel 60 percen belül kell foglalkozni
5. szint: halasztható ellátásra váró személyek, akikkel ráér 120 percen belül foglalkozni







